江西善泰健康产业发展有限公司
系统性红斑狼疮这种慢性且高度异质性的自身免疫性疾病,如同难以驱散的阴霾,让众多患者和医生头疼不已。其发病机制复杂,传统治疗方法往往难以取得理想效果。
2025年04月28日,《Advanced Science》期刊上发表了一篇题为“Microbiota-Derived Inosine Suppresses Systemic Autoimmunity via Restriction of B Cell Differentiation and Migration”的研究论文,带来了令人振奋的消息。该研究鉴定出一种特定的FMT介导的肠道菌群和一种微生物组衍生的代谢物,它们可以调节自身免疫,为攻克红斑狼疮这一难题提供了新的可能。
SLE与LN:复杂病理下的沉重负担
在系统性红斑狼疮(SLE)的发病机制中,B细胞的异常分化和激活以及自身抗体的分泌起着核心作用。在B细胞成熟和扩增过程中,抗体分泌量不断增加,增强了适应性免疫反应的效力。SLE患者体内鉴定的自身抗体通常在IgG内表现出高亲和力和体细胞突变,这表明它们是在生发中心形成的,且T细胞有助于促进抗体的类别转换。
狼疮性肾炎(LN)作为肾小球肾炎的一种,是与SLE相关的最严重的器官表现之一。LN中的肾损伤是由自身反应性白细胞、免疫复合物以及与SLE和LN相关的各种易感基因共同调控的。这一复杂的病理过程由细胞因子、趋化因子和生长因子介导,导致肾脏功能逐渐受损,严重影响患者的生活质量。
肠道菌群:SLE背后的“隐形推手”
肠道菌群参与调节代谢网络,对系统性自身免疫发病机制有着不可忽视的影响。研究表明,将系统性红斑狼疮(SLE)患者的粪便移植到无菌(GF)小鼠体内,受体GF小鼠会出现多种狼疮样表型特征。此外,MRL/lpr小鼠的肠道菌群移植会加剧由降植烷诱发的狼疮小鼠的发病机制,并影响肠道中的免疫细胞谱。SLE患者表现出硫代谢和鞭毛组装改变,而三基因同源狼疮易感小鼠则有色氨酸代谢异常,进而加剧了自身免疫表型。然而,肠道菌群变化对SLE进展的具体影响仍有待进一步深入研究。
研究结果
(1)FMT移植:显著改善SLE模型小鼠症状
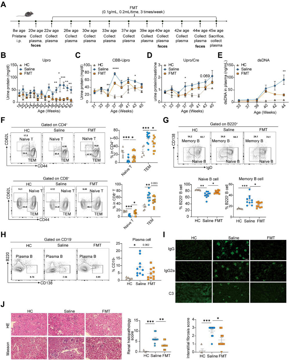
通过将健康小鼠的FMT移植到SLE模型小鼠中,显著降低了抗dsDNA抗体水平、尿蛋白及肾损伤,同时减少了B细胞分化和肾脏浸润。
这表明FMT移植可能通过调节肠道菌群,对SLE模型小鼠的免疫系统产生了积极的调节作用。
(2)FMT后菌群分析:约氏乳杆菌“崭露头角”
对FMT移植后的肠道菌群进行分析发现,约氏乳杆菌丰度显著增加,并与嘌呤代谢物显著相关.这一发现首次证实了约氏乳杆菌在SLE中的保护作用。
(3)代谢组学发现:肌苷水平大幅提升
代谢组学研究进一步揭示了FMT移植的奥秘。FMT显著提高宿主粪便和血浆中约氏乳杆菌代谢产物肌苷(inosine)的水平(粪便升高3.85倍,血浆升高1.82倍)。更为重要的是,肌苷补充或约氏乳杆菌单菌定殖均能有效缓解SLE症状,这表明肌苷在调节免疫反应、缓解SLE病情方面发挥着关键作用。
(4)作用机制:肌苷精准调控B细胞活动
深入探究肌苷的作用机制发现,肌苷通过抑制ERK信号通路降低HIF-1α表达,成功阻断了B细胞分化和迁移,减少了肾小球B细胞浸润及自身抗体分泌。
这一机制的揭示,为理解肌苷在调节免疫反应中的作用提供了重要的分子基础。

图1 FMT减轻狼疮小鼠模型的狼疮样症状
研究结论
这项研究发现,肠道菌群代谢产生的肌苷能够通过抑制B细胞的分化和迁移来减轻系统性自身免疫反应。肌苷通过调控B细胞的活化,减少其向浆细胞和生发中心B细胞的转化,从而降低自身抗体的产生,并限制B细胞向炎症部位的迁移。
这一机制揭示了肠道微生物代谢物在调节免疫稳态中的重要作用,为自身免疫性疾病(如系统性红斑狼疮)的治疗提供了潜在的新靶点。
原文链接
https://advanced.onlinelibrary.wiley.com/doi/10.1002/advs.202409837